Mis à jour le 27/08/2018

Partager :

Première à l’hôpital Beaujon AP-HP : l’équipe d’endoscopie digestive réalise sous échoendoscopie le traitement d’une tumeur du pancréas par radiofréquence

Premier traitement par radiofréquence guidée sous échoendoscopie d’une tumeur du pancréas à l’AP-HP

Le Dr Maxime Palazzo, chef du service d’endoscopie digestive avec la collaboration du département d’anesthésie-réanimation du Pr Catherine Paugam et du service de chirurgie digestive du Pr Olivier Soubrane de l’hôpital Beaujon,a réalisé le 14 juin 2018, le premier traitement par radiofréquence guidée sous échoendoscopie d’une tumeur du pancréas à l’AP-HP.
Endoscopie digestive Beaujon
Cette intervention, réalisée chez un patient âgé de 83 ans, souligne l’expertise des équipes médicales de l’hôpital Beaujon AP-HP dans la prise en charge des maladies de l’appareil digestif. Elle constitue une alternative à la chirurgie lourde plus complexe et pouvant occasionner plus de complications pour le patient. 

Le patient souffrait d’une tumeur rare du pancréas, un insulinome pancréatique occasionnant des hypoglycémies sévères non contrôlées ; l’insuline étant produite par le pancréas.
La technique innovante, la radiofréquence guidée sous échoendoscopie, cible et détruit la tumeur. Ce geste a été réalisé en moins de 30 minutes avec une courte anesthésie générale.
Après quelques heures, les hypoglycémies avaient disparu. Le patient a pu quitter l’hôpital après seulement quelques jours d’observation. Il se porte très bien.

Insulinome radiofréquence Beaujon
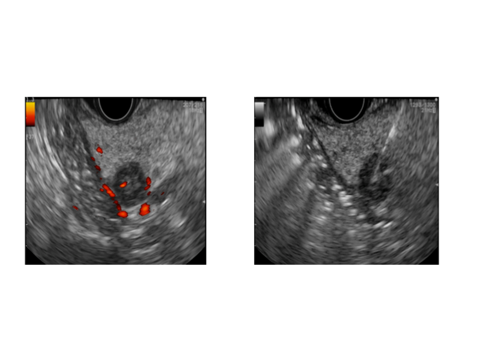
En pratique, le gastroentérologue-endoscopiste introduit par voie orale, un endoscope spécifique, l’échoendoscope à l’extrémité duquel se trouve une sonde d’échographie miniaturisée. Après repérage de la lésion au travers de la paroi intestinale, il introduit sous contrôle échographique une aiguille au cœur de la tumeur. Une fois en place, l’aiguille délivre un courant électrique qui va détruire la tumeur en une quinzaine de secondes, par radiofréquence. L’efficacité est immédiate.
Image gauche : tumeur visible
Image droite : l'aiguille se place à l'intérieur de la tumeur
Cette technique mini-invasive rarement pratiquée car nécessitant un haut niveau d’expertise constitue une avancée majeure. Elle évite au patient une intervention chirurgicale longue, complexe avec une morbidité post-opératoire non négligeable. Elle se place comme une alternative à la chirurgie lourde pour des tumeurs pancréatiques neuroendocrines fonctionnelles de petite taille chez des patients dont l’âge ou les co-morbidités contre-indiquent la chirurgie.
La radiofréquence sous échoendoscopie sera prochainement en cours d’évaluation pour le traitement d’autres types de tumeurs dont l’adénocarcinome pancréatique qui reste un cancer difficile à traiter.
L’hôpital Beaujon, AP-HP est un centre expert dans la prise en charge des maladies de l’appareil digestif dont les tumeurs pancréatiques bénignes et malignes. Un centre de diagnostic en un jour de ces tumeurs (HOPE) a ouvert en février 2017. Labellisé Centre européen d’excellence dans la prise en charge des tumeurs neuroendocrines digestives, il a été un des pionniers dans le développement de techniques endoscopiques comme l’échoendoscopie.